不少35+二胎备孕妈妈在求子路上会遇到 “两难困境”:一边是剖宫产留下的子宫瘢痕反复积液,药物调理难清除,影响胚胎着床;一边是卵巢储备悄悄下降,AMH 跌破1ng/ml,获取优质卵母细胞的机会越来越少。明明想尽快完成IVF,却因“子宫环境差+卵少”的双重问题,多次卡在促排或移植前。
泰国LRC生殖中心的医学科学总监吉蒂亚医生近期就接诊了这样一位患者,通过“微创清积液+个性化促排+同步内膜修复”的一体化方案,帮助患者突破困境。
这个针对“瘢痕积液+卵巢低储备”的诊疗过程,或许能为有同类困扰的家庭提供新思路。
LRC
好孕案例
案例背景
• 主诊医生:吉蒂亚医生
吉蒂亚医生毕业于宋卡王子大学医学院,拥有妇产科及生殖医学博士学位。在多年生殖临床经验中,吉蒂亚医生尤其擅长处理子宫腺肌症、多囊卵巢综合征等相关复杂问题不孕症,无论是子宫内膜薄、子宫容受性下降,还是卵巢储备低、反复促排反应差,她都能通过个性化方案与用药,帮助患者收获好孕。
• 患者年龄:35岁
• 生育史
- 2015年因胎位不正行剖宫产(育有 1 女)
- 2019年因胚胎停育行清宫术,近2年未避孕未孕
• 既往IVF史
- 2022年在国内尝试1次IVF,促排后因瘢痕积液无法彻底清除,移植前被迫取消周期,未获得可移植胚胎
• 进周前关键检查
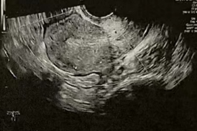
- 卵巢功能:AMH 0.85 ng/ml(提示卵巢储备偏低),基础卵泡 6 颗(右侧 2 颗、左侧 4 颗,大小 3-5mm)
- 子宫问题:阴超显示剖宫产瘢痕缺损,大小 0.8×0.2cm,瘢痕处积液深度 0.5cm,内膜厚度 4.6mm
LRC
好孕案例
生育困境及治疗难点
生育困境
• 子宫环境不达标:瘢痕缺损处反复积液,可能影响胚胎,降低着床稳定性;内膜基础薄,常规雌激素调理难达 8mm 的移植标准。
• 卵巢储备下降:AMH<1ng/ml、AFC<10 颗,卵母细胞数量少,且随时间推移质量可能进一步下降。
治疗难点
• 时间紧迫:卵巢储备会自然下降,传统方案需先清积液(1-2 个月)、再调理内膜(1 个月)、最后促排,全程超3个月,可能错过优质卵母细胞窗口期;
• 剂量难平衡:卵巢低储备需适当增加促排药剂量,但过量激素可能刺激瘢痕处内膜增生,反而加重积液;
• 胚胎不能浪费:卵母细胞数量少,若囊胚培养率低,可能面临促排后无胚胎可移的风险,白耗时间与精力。
选择 LRC 的理由
Z女士选择LRC,是因为这里能精准应对瘢痕积液+卵巢低储备的复杂情况。胚胎实验室培养实力稳定,可最大化利用有限卵母细胞;具备成熟微创技术处理子宫问题,减少身体负担;且流程响应快,能根据病情动态调整方案,兼顾诊疗效率与安全性。
LRC
好孕案例
促排过程:拮抗剂方案
月经第二天促排
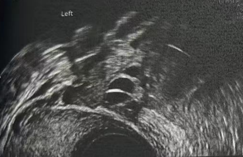
• 阴超检查:基础卵泡 6 颗
- 右侧卵泡 2 颗 (3-4mm)
- 左侧卵泡 4 颗 (3-5mm)
• 激素水平检查:
- 促黄体生成素 4.7 miu/ml
- 雌二醇 39.5 pg/ml
- 促卵泡生成素 12.8 miu/ml
- 泌乳素 48.30 ng/ml


促排第六天
阴超检查:
- 右侧卵泡 2 颗
- 左侧卵泡 6 颗
激素水平检查:
- 促黄体生成素 6.9 miu/ml


促排第九天
阴超检查:
- 右侧卵泡 2 颗 (10,20mm)
- 左侧卵泡 5 颗 (20,18,12,7,7mm)
激素水平检查:
- 促黄体生成素 3.2 miu/ml
- 雌二醇 1152 pg/ml


当晚注射夜针,计划36小时后取卵。
LRC
好孕案例
胚胎发育结果
取卵及受精
• 取卵:6颗
• 成熟MII:6颗
• ICSI受精:4颗
• 养囊成功:2颗

▲ Z女士的养囊报告
PGT-A染色体筛查结果
• 2 枚囊胚送检,2 枚过筛 - 适合移植

▲ Z女士的胚胎筛查报告
LRC
好孕案例
移植前子宫内膜激素准备
进入移植周期后,吉蒂亚医生启动内膜调理,通过温和的激素调节与内膜血供改善手段,帮助内膜逐步生长。最终内膜达到胚胎移植所需的理想厚度与形态,为后续着床筑牢子宫环境基础。
雌二醇:73.69 pg/mL
孕酮:0.38 ng/ml
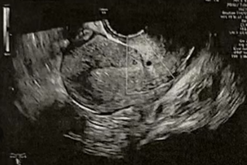
子宫内膜厚度:4.6 毫米,子宫有瘢痕大小 0.76*0.19 厘米


雌二醇:241 pg/mL
孕酮:0.13 ng/ml
子宫内膜厚度:9.3-10 毫米
- 有粘液滞留在腔内,从峡部瘢痕延伸至子宫底
- 双卵巢无囊肿
- 计划在胚胎移植前重复超声检查以冲洗峡部瘢痕


雌二醇:210.52 pg/mL
孕酮:0.3 ng/ml
子宫内膜厚度:8.9 毫米
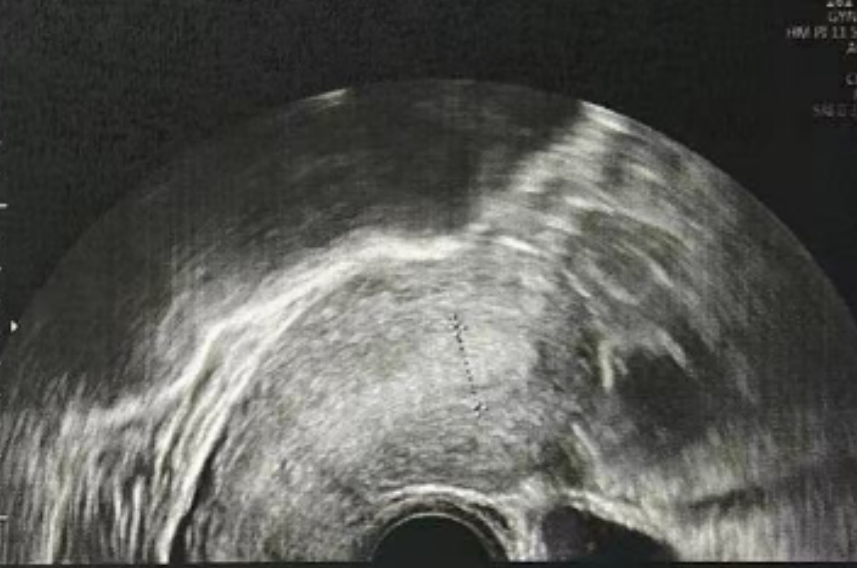
微创清积液
在进行3毫升的子宫峡部切口冲洗后,经过经腹超声检查显示子宫内膜呈三线状,且子宫腔内未见液体。
术后给予抗生素预防感染,为后续胚胎移植扫清子宫环境障碍。
• Pre-Irrigation灌洗前:


• Pre-Irrigation灌洗后:

LRC
好孕案例
移植当天
• 使用胚胎胶 + Tractocile


LRC
好孕案例
案例亮点及总结
案例亮点
• 个性化方案化精准匹配复合病情:打破标准化流程局限,针对患者卵巢低储备)+瘢痕积液的复合问题定制方案,每一步均贴合患者身体状况,而非套用通用流程。
• 流程提速,缩短诊疗周期:将卵巢调理、促排、子宫积液处理多环节整合推进,较传统先清积液再促排的分阶段方案缩短周期,帮卵巢低储备患者抓住优质卵母细胞窗口期。
• 技术微创,减少身体负担:采用超细宫腔镜清除瘢痕积液,低压冲洗技术避免子宫内膜损伤,术后无出血、感染等并发症,兼顾治疗效果与身体恢复。
案例总结
这个案例的核心价值,在于吉蒂亚医生没有将“瘢痕积液”与“卵巢低储备”视为独立问题分开处理,而是以患者整体情况为核心,通过“个性化方案设计+技术整合”实现“疗效与安全”的平衡。
对于35+、有剖宫产史且卵巢储备下降的备孕妈妈而言,这种 “量身定制” 的诊疗思路,既能避免标准化治疗的局限性,也能在保护生育力的前提下快速推进IVF进程,为后续移植打下扎实基础。
如果你也在经历相似的困境,别害怕停步——像Z女士一样,给自己一次机会。专业的医生会为你拨开迷雾,合适的方案会陪你稳步向前,而属于你的那一份好孕,或许就在下一个精准诊疗的路口,等你轻轻接住。
吉蒂亚·迪翁基医生专注于生殖医学与不孕症领域。毕业于宋卡王子大学医学院,拥有妇产科及生殖医学博士学位。曾出席2022年亚洲及大洋洲妇产科联合会(AOFOG),第27届妇产科和不孕症争议世界大会(COGI)等国际重大行业会议。同时,她还是泰国生殖医学学会会员、泰国皇家妇产科学院研究员。
擅长领域
高龄女性生育力评估与促排
子宫腺肌症
卵巢储备功能低下
卵泡长势不均匀
卵母细胞质量下降,胚胎发育潜能受限
子宫内膜薄,使用激素治疗无效
子宫容受性下降,胚胎移植反复失败
多囊卵巢综合征(PCOS)等相关复杂问题不孕症
促排卵反应下降等问题,制定微刺激促排方案